Нещо за флуора, което няма да прочетете в ежедневната преса
Лаура Оркан
Флуорът представлява една от главните съставки на пcихотропните лекарства. Усилва тяхното действие. Когато към популярното успокоително лекарство Валиум бил прибавен флуор, било създадено ново средство с по-силно действие – Rohypnol. Другo, изключително силно успокоително средство с флуор, Stelazinum, се използва в домове за социални грижи и в психиатрични болници в цял свят. Международният Университет във Флорида е публикувал рапорт, в който се твърди, че разтвор на калиев флуорид с концентрация 0.45 ppm забавя сензорните и умствените реакции.
Всички знаем, за какво се използва флуорът – от петдесетте години на ХХ век той е чудесната съставка на пастите за зъби, благодарение на която „можем по-рядко да посещаваме зъболекар“. Флуор се прибавя към чешмяната вода, за да пази зъбите. Такава е официалната версия. А каква е истината?
Първо – флуорът в пастите за зъби пази зъбите на хората само до 20-годишна възраст. И то само тогава, когато не е предозиран. Фактически – може да усили зъбния емайл, но приеман в големи дози може едновременно с това да предизвика много соматични и психични заболявания.
Популярните акции за флуоризиране на зъби сред ученици в основните училища, довели във Великобритания дo серия съдебни процеси. Оказало се, че при много деца се стигнало до оцветяване на зъбния емайл, зъбите станали чупливи и грапави.



През 1966 г. десетгодишния Кевин получил 1000 паунда обезщетение от концерна Колгейт Палмолив, известен производител на паста за зъби. При момчето била установена флуороза, т.е. отравяне с флуор.
А дали флуорът наистина в значителна степен предпазва детските зъби от кариес? Експертиза, проведена по нареждане на Американския Институт за Стоматологични Изследвания показала, че всъщност няма разлика в увреждането на зъбите при деца от територии, обхванати с флуоризиране и от такива територии, където не се извършва флуоризиране.

По-лош от оловото
Малцина хора знаят, че флуорът в действителност е отрова. Често се намира в състава на психотропнитe лекарства, а също в отровите за инсекти. Публикувани наскоро изследвания показват, че прибавяният към водата флуор може да предизвика сериозни генетични смущения, декалциране на костите, рак. По-лош е от оловото! В бившите комунистически страни и между другото във Великобритания, флуоризирането на водата се практикува от години. Много демократични страни не са въвели този обичай. Защо?

Никой никога не е провел подробни изследвания върху ефектите от дълготрайното приемане на флуор. Да, официално се твърди, че флуорът е безопасен, ако не се надхвърля определена установена доза. Но, ако хората пият много чешмяна вода (дори преварена), често си мият зъбите с паста, съдържаща флуор (а е доста трудно да се купи друга), използват течности за плакнене на зъбите с флуор – как могат да бъдат сигурни, че няма многократно да надхвърлят такава доза?
Подобни са нещата с аспартама, популярният подсладител без калории. Той е безопасен, когато го консумираме в малки количества. Само че толкова много различни хранителни продукти го съдържат: сокове, газирани води, витамини, бонбони и т.н. че можеш да се наблъскаш с него до уши, а производителите ще вдигнат рамене и ще кажат: в нашия продукт съдържанието на аспартам е в допустими норми и е безопасно!
Поражда се въпрос: щом толкова много признати учени от десетилетия се опитват да заинтересоват властите с вредното влияние на флуорa, тогава защо никой нищо не прави? Когато не се знае, за какво става въпрос, обикновено става дума за пари, и може би за власт.
Тоталитарен контрол върху умовете – флуор!
От началото на ХХ век е известно, че подаването на неголеми дози флуор предизвиква хората да бъдат по-подчинени и по-податливи на манипулация. Когато по време на Втората Световна Война хитлеристите търсили начин за подчиняване на затворниците в концентрационните лагери, започнали да им дават големи дози флуор в питейната вода. Производството на флуор възложили на концерна I.G.Farben от Франкфурт.

След приключването на войната в Германия пристигнал пратеник на правителството на САЩ, Charles Eiliot Perkins – химик, който трябвало да разгледа хитлеристките методи за контрол върху умовете. Той намерил документи, установяващи, че преди да избухне германско-съветската война през 1941 година, двата тоталитарни режима си обменили информации относно начини за властване над масите. “Болшевиките преценили прибавянето на лекарства към питейна вода за идеален начин за комунизиране на света” – написал в рапорта си. Флуорът пасвал идеално за тази цел – не стига, че предизвиквал желаните реакции в умовете, а при това неговото използване можело да бъде обосновано с това, че пази зъбите. Отровата била преобразувана в лекарство.
Самите американци предложили чудните свойства на флуора. Фабриките на концерна I.G.Farben като единствени не били бомбардирани от съюзниците – вероятно поради това, че много американски бизнесмени вложили там големи пари, напр. семейство Меллони. След войната Меллоните учредили Американско Алуминиево Предприятие (ALCOA) – флуорът представлява токсичен отпадък при производството на алуминий. Трябвало да се направи нещо с него. ALCOA и други предприятия, произвеждащи флуор, финансирали изследвания, които показвали, че малки количества флуор не са вредни за здравето. В рапорта изцяло били подминати вредните последици от въздействието на тази субстанция върху човешкия организъм и мозъка. Било подчертано, обаче, полезното влияние върху зъбите.

През 40-те години на ХХ век няколко града в САЩ започнали флуоризиране на водата, а няколко фирми започнали да прибавят тази субстанция към пастите за зъби, и лавината тръгнала…
Голямата лъжа – влиянието на пропагандата за флуора върху нашия живот Leonard Hardy
Оригинална публикация в „Natural healing today“, година 6 пролет 2002
В немското списание Stern през 1978 година се появила, илюстрирана със снимки, статия за турското село Kizilcaoern. „Деца, млади момичета, а дори единственият в това село кон – всички те имат кафяви зъби. Тридесетгодишни мъже с прегърбени гърбове с мъка се сноват по улиците, помагайки си с бастуни. Жени раждат в четвърти месец мъртви деца. Четиридесетгодишните изглеждат като старци… Така мъжете, както и жените страдат тук от преждевременно остаряване. Между тридесет- и четиридесетгодишна възраст върху лицата им се появяват бръчки, мускулите им стават значително по-слаби и започват да имат трудности с ходенето.”

Тамошен зъболекар пръв заподозрял отравяне. Информирал за това Университетската Клиника в Eskisehir, а започнатите от нея изследвания показали, че всички жители на селото страдат от костни заболявания: удебеляване на глезените, скованост на ставите, прекомерно производство на костна тъкан.

Stern продължава: “Д-р Yusuf C. Ozkan и неговите сътрудници от Катедрата по Медицина на Университета Eskisehir подозират, че всички тези страдания са предизвикани от високо съдържание на флуор в местната вода… В съседните села, където водата била от друг източник, общото здравно състояние на жителите било нормално. Лекарите твърдят, че съдържанието на флуорид във водата е 5.4 ppm”. (1 ppm = 1 part per milion означава, че на милион единици вода има една единица флуорид, което се равнява на 1 милиграм/литър).
Идентично явление било наблюдавано в едно село в Сицилия от д-р Frad от Университета в Палермо. Като причина той разпознал съдържанието на флуорид, което било 5 ppm (5 мг/литър) в местната вода.
В някои региони на Индия и Китай, където също се наблюдавало натурално високо съдържание на флуорид във водата, жителите страдали от флуороза и ревматични заболявания – при тях настъпва преждевременно остаряване и умират преди 50-годишна възраст. Когато някой падне, неговите кости се спуквали, сякаш са от стъкло.
Във всяка енциклопедия можем да намерим информация, че флуорът и неговите съединения (флуориди) са изключително токсични и може да се борави с тях само с най-голямо внимание. Думата “отрова” можем да намерим и върху опаковки на пастите за зъби (върху кутията, не върху тубата), тъй като на базата на нареждане от 1997 г. са задължителни етикети с предупреждение: “Ако случайно бъде погълнато количество паста, по-голямо от количеството за миене на зъби, трябва веднага да се потърси лекарска помощ или да се осъществи контакт с центъра по токсикология”.
Започвайки нашите разсъждения, трябва да си даваме сметка, че е безспорен факт, от химическа и биологическа гледна точка, това, че флуорът представлява опасна отрова.
Пропаганда: “Флуоридът е безопасен и ефективен”
Разбира се, в Америка за флуорида се знае нещо различно. Мнозинството хора там са категорично убедени, че флуоридът играе важна роля в профилактика на кариеса, особено при деца, и че е безопасен и ефикасен. Ако не беше така, със сигурност не би бил системно добавян към питейната вода и пастите за зъби. Такава е известната страна на флуоридите, за която все се говори. Но другата му страна, подминавана с пълно мълчание, е фактът, че той може да предизвиква заболявания на костната система, рак, увреждане на мозъка, преждевременно остаряване и много други проблеми.
В тази статия се стараем да представим как през изминалите шестдесет години флуорът, бъдейки отрова, постепенно се е „трансформирал“ в субстанция, предпазваща зъбите. По-късно ще се запознаем с тези, които черпят ползи от пропагандирането на флуора и ще разберем какво влияние има върху нас системната консумация на това “безопасно и ефикасно”, отровно средство и защо всичко това се случва.
(Тези информации са по-удивителни отколкото някой би могъл да очаква.)
Защо е важно да се знае това? Понеже в Америка, в популярен супермаркет или “drugstore” може да се закупи изключително флуоризирана паста за зъби и всекидневно 160 милиона Американци пият чешмяна флуоризирана вода. Флуорид можем да намерим в разхладителните напитки, бирата, и хранителните продукти. Освен това флуоридът, бъдейки една от най-разпространените субстанции, замърсяващи околната среда, присъства в естествените водни резервоари, почвата, въздуха.
Така вероятността за това, че някой не консумира флуор, е равна на нула.
Едновременно с това, непрекъснато нараства броят на научните доказателства за опасностите, свързани с тази консумация. Това означава, че можем да станем жертва на вредното влияние на флуора, без да имаме никаква представа за това.
Сега, в много съкратена форма – въпреки, че статията изглежда дълга – да погледнем в хронологичен ред историческия път на флуорида.
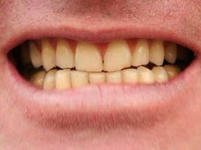
Когато още флуоридът бил известен като отрова, флуорозата представлявала широко познато явление, появяващо се тогава, когато в организма се натрупва прекалено много флуорид. В леките случаи това предизвиква поява на петна върху зъбите, в по-тежките – емаилът потъмнява и се отчупва.

В САЩ е известно от 1916 г., че флуоридът предизвиква това явление. Във връзка с това, в периода от 1931 до 1939 година, Американската Служба за Публичното Здраве (U.S. Public Health Service) и Американската Асоциация на Зъболекарите (American Dental Association) изисквали премахване на флуорида от водата в тези местности, където той присъства като натурално или промишлено замърсяване на околната среда.
При по-леките форми на флуороза върху зъбите се появяват бели петна. При по-сериозни случаи, зъбния емайл се отчупва и зъбите се развалят. Флуорозата представлява необратим процес, затова единственият начин за спасяване на болния зъб е поставянето на коронка.
Флуорозата не е козметичен проблем, а заболяване, защото засегнатите от нея зъби показват също така състоянието на костите на дадения човек.
По-лека форма на флуороза може да се появи дори при 80% от децата в регионите, където се флуоризира водата, но подобна поява на заболяването може да се появи и в други региони, където прекалено много флуор постъпва в организма не от водата, а от други източници (паста за зъби, храна, замърсявания на околната среда).
Д-р H. Trendley Dean от Американска Служба за Обществено Здраве през 1931 г. инициирал изследвания в цялата страна, които показали, че увеличавайки количеството на флуорид във водата, нараства появата на флуороза сред нейните консуматори. В края на 30-те години Dean твърдял, че 1ppm (1 мг/литър) флуор представлява съдържание на флуорид във водата, което предизвиква минимална флуороза, въпреки че намалява степента на поява на кариес.
През 1939 г. Gerald Cox, биохимик от Mellon Institute, излязъл с тезата, че щом флуоридът в определена доза е вреден, то вероятно в по-малко количество е полезен. Година по-късно д-р Cox станал член на Комисия за Храните и Храненето при Нациналния Съвет за Научни Изследвания и активно започнал да подканва към флуоризиране на водата. Другият изпълнителен привърженик на флуорида бил юрист и политик от висок ранг – Oscar Ewing, който като началник (от 1947 година) на Службата за Публичното Здраве използвал всяка възможност, за да подпомогне идеята за флуоризиране. Под негов надзор, в продължение на три години, бил въвеждан флуор във водата в почти сто града.
Следващият известен поддръжник на тази идея бил д-р Harold C. Hodge, тогава завеждащ изследванията по токсичността на флуорида в отдела на проекта Манхатън в Университета Rochester. Негова задача било приготвянето на проект за флуоризиране на водата в град Newburgh в щата Ню Йорк и изследване на влиянието му върху местните жители. Днес флуоридът е прибавян в количеството 1 – 4 ppm, към питейната вода на 2/3 от населението на САЩ, т.е. към повечето градски водопроводи. Този огромен експеримент започнал на 1 януари 1945 г. в Grand Rapids в щата Мичиган, въпреки по-ранното негативно изказване за него в Списанието на Американското Лекарско Сдружение, както и в Списанието на Американската Асоциация на Зъболекарите.

На 18 септември 1943 г. в статията “Хронично отравяне с флуорид”, публикувана в Списанието на Американското Лекарско Сдружение се твърди: “Флуоридите представляват протоплазмови токсини, променящи пропускливост на клетъчната мембрана чрез спиране на някои ензими. Източник на отравяне с флуорид може да бъде питейна вода, съдържаща 1 ppm или повече флуорид, флуорни съединения в инсектицидитe…” Тук е моментът да отбележим, че още година преди въвеждането на флуоризирането на вода, 1ppm било смятано за токсично.
В изданието от октомври 1944 г. на Списанието на Американската Асоциация на Зъболекарите се твърди: “Натриевия флуорид представлява силно отровна субстанция и ако неговото прилагане в безопасна концентрация и под строг контрол на компетентен персонал, може да даде положителни терапевтични резултати, то при други условия той може да бъде категорично вреден… Добре ни е известно, че питейна вода съдържаща едва 1.2 – 1.3 ppm флуорид може да предизвика смущения в развитието на костите: втвърдяване, спондилоза, мраморност; както и гуша. Не можем да рискуваме предизвикване на толкова системни заболявания чрез будещо съмнения поведение, имащо „за цел предпазване на детските зъби от кариес…”.
През 1945 г., след започване на експеримента в Grand Rapids, един от главните инспектори от FDA (Агенция за Храни и Лекарства) открил, че в една пивоварна в Масачузец към бирата се прибавя флуорид. Собственикът на пивоварната бил арестуван и изправен пред съда с обвинение за отравяне на бирата. Съгласно с обвинението, в бирата “била открита вредна отрова – флуорид, който съгласно съществуващите нареждания (Section 301 a of the Food, Drug and Cosmetic Act) е опасен…” Било установено, че флуоридът бил добавен в количеството 0,5 ppm. И така през 1945 г., съгласно мнението на федералната агенция FDA, флуоридът още бил отрова, дори в концентрация наполовина на това, което от 1 януари било добавяно към питейната вода в Grand Rapids. Между другото, пивоварната трябвало да плати глоба, а нейният управител получил присъда: половин година затвор плюс три години условно.
Въпреки всичко експериментът в Grand Rapids започнал, под надзора на опоменатия вече д-р Trendley Dean. Първоначално било планувано в продължение на 10 години да бъде прибавян флуорид към водата в Grand Rapids, а след десет години да бъде сравнено здравословното състояние на местните жители със здравословното състояние на жителите на Muskegon, където нямало флуорид във водата. Този план обаче бил изоставен, понеже през 1947г. било започнато флуоризиране на водата и в Muskegon, затваряйки по този начин пътя към събиране на научни данни относно безопасността и ефективността на флуорида.
През 1946г. бил въведен флуорид в шест огромни американски града.
През 1947г., след назначаването на Oscar Ewing за шеф на Федералната Агенция по Сигурността, към която принадлежала Американската Служба за Публично Здраве, програмата за флуоризиране тръгнала напред с пълна сила и в продължение на следващите три години започнало изпомпването на флуорид към 87 следващи градове.
През 1950 г. U.S. Dispensatory (книга-коментар към Фармокопея), 24 Издание, на стр.1456 така определя флуоридите: “Силни отрови за всички живи клетки, понеже предизвикват изместване на калция. Предизвикват понижаване на кръвното налягане, смущения в дишането и общ паралич. Дълготрайно консумиране на дози, по-малки от смъртоносните спира растежа… използването в средствата за почистване на зъби и лекарства с външно приложение не е оправдано.” През следващите години директорите на U.S. Dispansatory премахнали целия гореспоменат фрагмент. Защо?
През 1950 г. Американската Служба за Публично Здраве, под управлението на Oscar Ewing, официално и открито подкрепила флуоризирането на питейната вода в САЩ. През същата година Фондацията за Научни Изследвания над Захарта, обединяваща 130 предприятия, признала, че захарта представлява една от главните причини за зъбния кариес. Фондацията признавала парични дотации на Катедрата по Хранене към Харвардския Университет за “разрешаване на проблема, свързан с кариес без ограничаване на консумацията на захар”. Под влиянието на тези дотации университетът препоръчал флуоризиране на водата. Две учреждения, най-много подкрепящи флуорида – Институт по Стоматология (Харвард) и Университет Рочестер – получили от захарната индустрия големи субсидии за изследване на флуорида.
През 1952 г. започва добавяне на флуорид към градската вода в Сан Франциско, Питсбърг и ред други големи и малки градове.
На 29 ноември 1969 г. пропаднала асфалтовата улична покривка върху улица с 15 метра широчина, на дължина 60 метра – след спукване на почти нова, главна водопроводна тръба. Лабораторните изследвания показали, че тръбата била унищожена от съединенията на флуора. Върху стените на тръбата било установено наличието на флуорид с концентрация 22.000 ppm.
Вестник Pittsburg Press от 15 октомври 1967 г. съобщил, че 98% от живущи в Питсбърг деца на възраст 13 – 15 години имат криви зъби.
През 1954 г. Christian Science Monitor се обърнал към 81 лауреати на Нобеловата Награда, учени в сферите на химията, медицината и биологията, за да представят своите мнения по темата за флуоризирането на питейната вода. 79% от тези експерти не подкрепили тази идея, въпреки твърденията на нейните поддръжници, че е подкрепяна от всички известни учени.
През 1955 г. била започната продажба на пасти за зъби с флуор, с предупреждение, че “флуоризираната паста за зъби не бива да бъде използвана в населени места, където се добавя флуорид към водата”. Две години след това предупреждение било премахнато.
Флуоридът става „ефикасно подхранващо вещество“. През 1956 г. списанието на Американския Стоматологичен Съюз публикувало “предназначени за обща употреба” резултати от експериманта в Newburgh, съгласно които флуоридът в ниска концентрация е безопасен за американските граждани. Биологичното доказателство било предоставено от д-р Hodge от Университета Рочестер.
През 1957 г. производителят на алуминий ALCOA информирал, че продава натриев флуорид на разни населени места, с цел флуоризиране на водата.
През април 1958 г. Съюзът на Американските Лекари и Хирурзи, обединяващ над 15 хиляди членове, приел резолюция, изразяваща съпротива срещу флуоризацията: “ Съюзът е против въвеждането в публичните водопроводи на всякакви вещества, които имат за цел влияние върху физическото или умственото функциониране на консуматорите”.
Също през 1958 г., известният генетик H.J. Muller доказал, че флуоридите предизвикват основни вреди, когато попадайки в клетката нарушават нейният генетичен ред.
През 1961 г. Върховният Съд в Швеция определил флуоризирането за противоречиво на закона.
През 1964 г. флуоризирането било забранено в Дания. Периодичното Списание на Британските Зъболекари предоставило резултати от четиригодишни изследвания обхващащи 1,000 деца: не били установени никакви съществени разлики относно развитието на зъбен кариес между деца използващи флуоризирана паста за зъби и тези, които си мили зъбите с паста без флуорид. Изследванията били проведени от университетски професори, изцяло независими от стоматологичната промишленост, а получените от тях данни били обработени от независими от професорите статистици – обратно на изследванията проведени в САЩ, в които винаги, индиректно или директно, били ангажирани тези промишлени отрасли.
През 1971 г. забранили флуоризацията в Германия. На 18 ноември същата година шведският парламент анулирал, по-рано сметнатия за нелегален, закон за флуоризацията, обявявайки: “Просто не съществува истинско доказателство подкрепящо широко разпространените твърдения на поддръжниците на флуоризацията”.
През 1973 г. Холандия забранила флуоризирането на вода.
През 1974 г. Подкомисията на Конгреса за Междуправителствените Отношения организирала две пълни конгресни изслушвания относно проблема с флуорида. По време на изслушванията било доказано, че “научните усилия” на поддръжниците на флуоризацията се базират върху измама и че проведените научни изследвания не оставят никакви съмнения, че флуоризираната вода всяка година предизвиква в САЩ над 10,000 случаи на смърт от рак
През 1978 г. учени от Медицинската Академия в Полша установили, че флуоридите предизвикват генетични вреди в клетките на човешката кръв. През същата година в Пенсилвания бил спечелен съдебен процес, в рамките на който била доказана вредността на флуоризирането, в резултат на което тя била забранена. Това събудило безпокойство сред поддръжниците на флуоризацията, от името на които Американската Асоциация на Зъболекарите издала през следващата година т.нар. бял документ, в който противниците на флуоризация били наречени “недоинформирани квазиексперти, които нямат никакви квалификации, за да имат смелостта да говорят на такива научни теми като флуоризация и, чиито мотиви са абсолютно егоистични”. Освен това Съюзът още веднъж подкрепил “влияещите върху целия живот качества на флуоризацията”.
На 20 януари 1979 г. в Ню Йорк Таймс била публикувана следната статия (откъс): “Жури на Върховния Съд на Щата Ню Йорк призна на родителите на тригодишно момче от Бруклин обезщетение в размер 750,000 долара. Момченцето, по време на първото в живота си посещение при зъболекар в градската стоматологична клиника, получило смъртна доза флуорид, след което в продължение на близо пет часа никой не се заел с него – нито в чакалнята на детската клиника, нито в Болницата Brookdale – въпреки че майка му умолявала за помощ. Момченцето изпаднало в кома и починало.” В статията било посочено, че зъболекарят не установил кариес при момчето, следователно го предал на асистентката. Тя намазала зъбите на детето с флуориден гел, но “забравила” да му каже да изплюе всичко и да изплакне устата. А детето глътнало всичко и след пет часа, превивайки се от болки, починало. (Децата до 6-годишна възраст не умеят добре да контролират гълтателния рефлекс). През същата година Terry Leder заявила писмено, че през 1969 г. работила като асистeнтка при един зъболекар, който наредил да се проведе флуоризиране при малко дете, което веднага получило конвулсии и умряло. Според Terry Leder гелът (притежаващ приятен вкус, за да не протестират децата) съдържа 10,000 ppm флуорид и се оставя върху зъбите за около пет минути. Преди края на същата година в Мелбърн, Австралия починало друго дете, след поглъщане на шест хапчета с флуорид.
През 1981 г. в японската Стоматологична Академия Канагава, д-р К. Ишида провел изследвания, които показали, че вече в концентрация 1 ppm (толкова, колкото най-малко се прибавя към водата в Америка) флуоридът смущава производството на колаген в организма. (Колагенът – една от най-важните и най-изобилно присъстващи в организма белтъчини – представлява една от главните съставки на кожата, сухожилията, мускулите, хрущялите, костите и зъбите).
Флуоридът предизвиква разлагане на колагена, остеопороза, рак на костите, чупливост на костите и зъбите, унищожава съединителните тъкани, които поддържат нашите органи в правилна позиция.
През 1986 г. Центъра по Токсикология Rocky Mountain информирал за 87 случая на отравяния с флуорид. Починало тринадесетмесечно бебе. Натриевия флуорид (който се намира и в пастите за зъби) е най-честата причина за остри отравяния при деца, предизвикани от една субстанция.
На 30 март 1989 г. Калифорнийската Администрация на Здравната Служба съобщила, че в бутилираната вода с наименование Ниагара било намерено 450 ppm флуорид. Началникът на администрацията, Kenneth Kizer, предупредил населението, че пиенето на тази вода грози със смърт.
На 21 юли 1989 г. Chuck Filippini завел осемгодишната си внучка на зъболекар, където са й приложили процедура с флуорид. Два часа след това детето се разболяло, а след три дни починало. През същата година Американския Съюз на Зъболекарите публикувал в пресата съобщение, съгласно което “флуоризирането на питейната вода представлява най-безопасния, най-ефективния и най-икономичния метод прилаган от здравната служба с цел предотвратяване на зъбния кариес.”
Рак, по-ниско ниво на интелигентност.
През 1991 г. Националният Институт по Онкология предприел изследвания сред жителите на САЩ, относно заболявания от рак, които могат да имат връзка с флуорида. Било установено “нарастване на броя заболявания от рак на костите и ставите във всички възрастови групи, главно с тенденцията за растеж във възрастовата група под 20 години, във „флуоризирани“ общини, за разликата от другите, където не се провежда флуоризиране…” Институтът по Онкология подготвил подробни разработки относно много общини в щатите Вашингтон и Айова. Било установено, че “ограничавайки се до процентните показатели за възрастовата група под 20 години: в тази група, при представители на двата пола, заболеваемостта от рак на костите и ставите в периода от 1973 – 80 до 1981 -87 нараснала с 47 % във флуоризираните региони на Вашингтон и Айова, и се понижила с 34% в регионите, които не са флуоризирани. В групата на мъже на възраст под 20 години заболяваемостта от рак на костите нараснала с 70% във флуоризираните региони и спаднала с 4% в не флуоризираните.” Съгласно щатните данни, през 1992 г. 144 милиона американци консумирали флуорид във водата (днес вече 160 милиона.)
През същата година Michael Perrone, от името на законодателните власти на Ню Джерзи, се обърнал към FDA за данни, относно безопасността и ефективността на продаваните по магазините таблетки и капки с флуорид. След шест месеца FDA признала в крайна сметка, че не притежава никакви данни, които да показват, че флуоридните хапчета и капки са безопасни и ефикасни.
През 1995 г. китайски учени провели изследвания за нивото на интелигентност при 907 деца на възраст 8 – 13 години, във връзката с присъстващата при тях флуороза на зъбите. Учените установили, че “коефициентът на интелигентност на деца, живущи в региони със средно или сериозно разпространение на флуороза бил по-нисък отколкото на деца от региони, където флуорозата не била установена или представлявала рядкост.“ Изглежда, че флуоридът влияе негативно върху развитието на интелигентността.
На 2 януари 1997 г. професионален съюз, представляван от 1500 учени, инженери, юристи и други специалисти от Агенцията по Опазване на Околната Среда (EPA), заявил: “Събраните от нашите членове в продължение на последните 11 години доводи, в това число епидемиологични изследвания върху животни и хора, посочват причинна връзка между флуорида/флуоризирането и рака, генетични и неврологични вреди и костни заболявания.
През същата година RDA издала нареждане относно етикетите върху пастите за зъби, съгласно което трябвало да бъде поместено там следното предупреждение: “Ако случайно погълнете количество паста, по-голямо от това за миене на зъбите, веднага потърсете лекарска помощ или се обърнете към Центъра по токсикология”. Според Американския Съюз на Зъболекарите ”новото предупреждение, изисквано от FDA, върху пастите за зъби, съдържащи флуорид, може излишно да изплаши родителите и децата, а освен това такъв етикет значително преувеличава доказаната или възможната опасност, свързана с пастите за зъби, съдържащи флуорид”.
През 1999 г. един от най-забележителните привърженици на флуора, началникът на Катедрата за Дентална Превенция към Университета в Торонто и председателят на Канадското Сдружение за Стоматологични Изследвания, д-р Hardy Limeback, в рамките на драматично обръщение, се извинил на неговата катедра и студентите за досегашното подкрепяне на флуоризирането. В интервю, което дал на 5 декември 1997 г. за списание The Tribune в Аризона, заявил: “Като началник на катедрата за стоматологична превенция, несъзнателно дезинформирах моите колеги и студенти. През последните 15 години отказвах да проуча токсикологичните информации, достъпни за всеки. Отравянето на нашите деца беше най-далеч от моите намерения”.
Според д-р Limeback “деца под три годишна възраст никога не трябва да използват паста за зъби с флуорид. А към храните за бебета никога, при никакви условия, не може да се слага (флуоризирана) чешмяна вода в Торонто! Никога!” За решението на д-р Limeback изиграл роля един експеримент с участието на двата най-големи града в Канада. „Тук в Торонто – казал той – от 36 години добавяме флуорид към водата. Въпреки това във Ванкувър, където никога не е имало флуоризиране, зъбният кариес е по-малко разпространен, отколкото в Торонто”.
На 29 юни 2000 г. Американския Съюз на Стоматолозите ADA дал заявление относно ефективността и безопасността на флуоризирането на водата: “ От над 40 години Американския Съюз на Стоматолозите подкрепя флуоризацията на публичните водни ресурси, като безопасна и ефективна мярка за профилактика срещу зъбен кариес… За съжаление, въпреки неоспоримите доказателства за безопасността и ефективността на флуоризацията, над 100 милиона американци все още не могат да ползват флуоризираната вода. ADA, съвместно с щатските и федералните дентални организации, продължава сътрудничеството с федералните, щатските и локалнитете агенции, целящо увеличаване на броя градове, черпещи ползи от флуоризирането на обществените водни ресурси”.
„Виждаме, колко сложен в действителност и пълен с противоречия може да бъде привидно прост и почти за всички очевиден проблем, какъвто е използване на флуор. Това, което описахме досега представлява само въведение и в сравнение с продължението ще се окаже нещо съвсем незначително. Знаем вече, че използването на флуорид не е безопасно, но дали е ефективно? Ако се окаже, че той не е ефективен и не е безопасен – то в такъв случай какво търси той в нашата вода, в нашите пасти за зъби и в нашите организми? Отговора на този въпрос е толкова изумителен, че никога нямаше да повярвам, ако не бях видял доказателствата със собствените очи.“ Леонард Харди
Нещо не видях нищо за хората/бизнесите/организациите/институциите които са заинтересовани от популяризирането на идеята за полезността на флуора и масовото му прилагане. А в началото на статията пишеше нещо от сорта на… По долу ще стане дума за това, кой е зад величаенето на флуора…
От цялата статия се вижда, че нещо тук не е наред. Както казва авторът: "когато не се знае за какво става въпрос, обикновено става дума за пари и, може би, за власт". Учените и изследователите показват ясни доказателства за вредността на флуоридите, потвърждаващи факта, че тази субстанция е токсична и отровна за хората, животните и растенията. Правителствата на различни държави решават тази отрова да се излива в водопроводни мрежи на населените места. Медицинските институции подкрепят правителствената линия, аргументирайки се с изказвания на оглавяващи ги авторитетни личности (това са държавни служители, които в различни периоди са ангажирани на високи длъжности в медицинските институции и други държавни институции). Както се вижда и от тази статия, медицинските институции не винаги поставят на първо място общественото здраве, понякога сякаш повече са загрижени за спасяване на захарната промишленост, алуминиевото производство, производството на изкуствени торове (тук връзките с флуорида са директни). Щом под името на полезна субстанция на хората се подава нещо, което е отровно, което причинява хипотиреоидизъм, различни видове рак, понижава коефициента на интелигентност, предизвиква необратими костни, мозъчни и генетични увреждания, то тогава наистина за какво става въпрос? Аз го разбирам така: за много пари на много високи етажи на властта. В статията има посочени различни медицински институции, представлявани от различни хора, които са "истинските герои" на най-голямата афера на нашите времена. Имат ли обаче значение конкретните имена на конкретните хора, когато става въпрос за толкова много пари, че във всеки момент и без никакъв проблем хората и имената могат да бъдат сменени?
В България тези проблеми също са на лице!!! В минералната вода в магазините има флуор, четете етикетите преди да купувате..!! В почти всички(да не кажа всички) пасти за зъби в супер-маркетите и хранителните магазини се съдържат флуориди(най-вече нариев флуорид на англ.- Sodium Fluoride), имам някакви бегли спомени че в детската градина(преди 14-15 години) ни даваха хапчета с флуор за по здрави зъбки…
спомена се..прочети го пак ако трабвя…флуора прави бая поразии и в българия, НИКОГА не си купувайте ДЕВИН- със син етикет…. то си пише на етикета, с един дребен шрифт че не се препоръчва да се пие от деца 😀